首页 > 新闻中心 > 健康

世界血栓日丨“久躺”“久坐”还跷二郎腿?这个高危组合正在给血管“埋雷”

来源: 紫牛新闻

2025-10-13 14:22:00

血栓这个藏在血管里的“沉默杀手”,从不挑年龄和职业,其危害不容小觑。10月13日是世界血栓日,我们通过江苏省中西医结合医院急重症医学科里真实的病案、高危因素和预警症状,帮助大家躲开血栓陷阱。

久坐久躺,突发肺栓塞

33岁的吴先生是电脑工程师,前一天为赶项目从早坐到晚,仅靠咖啡提神。傍晚时他开始胸闷、气喘,以为是疲劳,躺了一会儿没缓解,反而越来越严重,家人赶紧将他送至江苏省中西医结合医院。

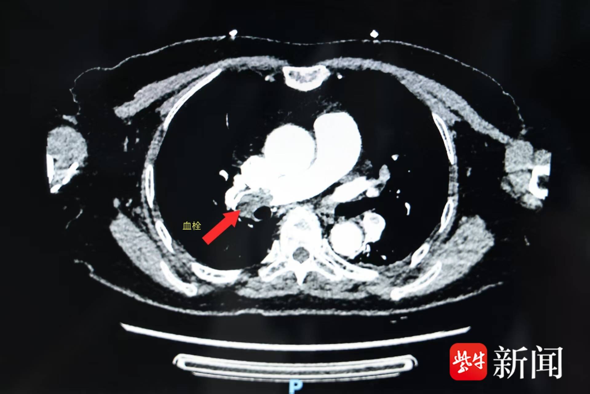
急诊科医生先通过肺部CT排除气胸、重症肺炎,再用心电图和心肌酶排除心梗。当看到血液中“D-二聚体”(血栓重要指标)显著升高,怀疑是急性肺栓塞,随后肺动脉CTA确诊“右下肺动脉栓塞”。好在吴先生就诊及时,血流动力学稳定,医生立即给予抗凝治疗。3个月后复查,他肺部的血栓已完全消失。

久坐、久卧导致出现“血栓”,吴先生这并非个例。40多岁的王女士术后卧床一周后,突然严重气喘,送到医院时血压持续下降,乳酸升高(提示组织缺氧),已出现休克。医生紧急做床旁心脏超声,发现患者右心房、右心室明显扩张 —— 这是高危肺栓塞的信号,立刻启动溶栓治疗。患者血压慢慢回升,呼吸也平稳了;后续继续抗凝治疗,最终痊愈出院。

这些人容易被血栓 “盯上”

急重症医学科主任、主任医师倪海滨介绍:“血栓形成离不开三大因素:血流慢、血管伤、血液稠。符合这些特征的人,要格外警惕。”

血流慢:“久坐 + 跷二郎腿”是高危组合

长期久坐、久躺,最容易导致血流变慢。有些职业,比如电脑工程师、程序员、办公室白领等伏案工作者,经常乘坐高铁、飞机出差的人,长途开车不休息的人,尤其有些人不仅久坐,还常因放松身体不自觉跷腿。

跷二郎腿时,腿部血管会受到压迫,血流速度明显减慢;再加上久坐导致的整体血流停滞,会在血管壁沉积,慢慢形成血栓,这就像静止的河水易淤积泥沙,流速越慢,淤积越严重。

血管伤:“保护层”破了,血栓易形成

血管内膜就像血管的“保护层”,一旦受损,血栓就容易找上门。比如有“老烂腿”(下肢静脉曲张合并感染)的人、创伤病人损伤血管内膜,为血栓创造条件。

血液稠:这些人血液易“凝固”

血液太稠,就像浓粥难流动,稍停就会结块。比如高血脂、糖尿病、肥胖患者,血脂高会增加血液黏稠度;产后女性、长期吃避孕药的女性,激素变化会让血液易凝;有“易栓症”的人,体内凝血因子异常多,凝血能力远超止血需求;还有骨科、妇产科术后久躺的人,活动少+身体应激反应,会双重增加血栓风险。

出现这些不适,专家建议立刻就医

血栓早期症状隐匿,甚至可能毫无不适,倪海滨主任特别提醒,下肢是血栓的高发部位,若发现双腿粗细存在差异,且较粗一侧伴随肿胀、疼痛,可能是下肢静脉血栓,需高度警惕。当下肢血栓脱落,会随血液回流至心脏,再被输送到肺部堵塞肺动脉,引发肺栓塞,此时会突发胸闷、呼吸困难,还可能伴有胸痛,少数人会出现咳血症状,出现相关症状需及时前往正规医院就诊。

通讯员 杨萨飒 罗鑫

扬子晚报/紫牛新闻记者 万惠娟