首页 > 新闻中心 > 健康

中国援桑医疗队:奔巴岛磁共振 “首秀”,精准锁定丘脑梗死

来源: 紫牛新闻

2026-01-13 18:30:00

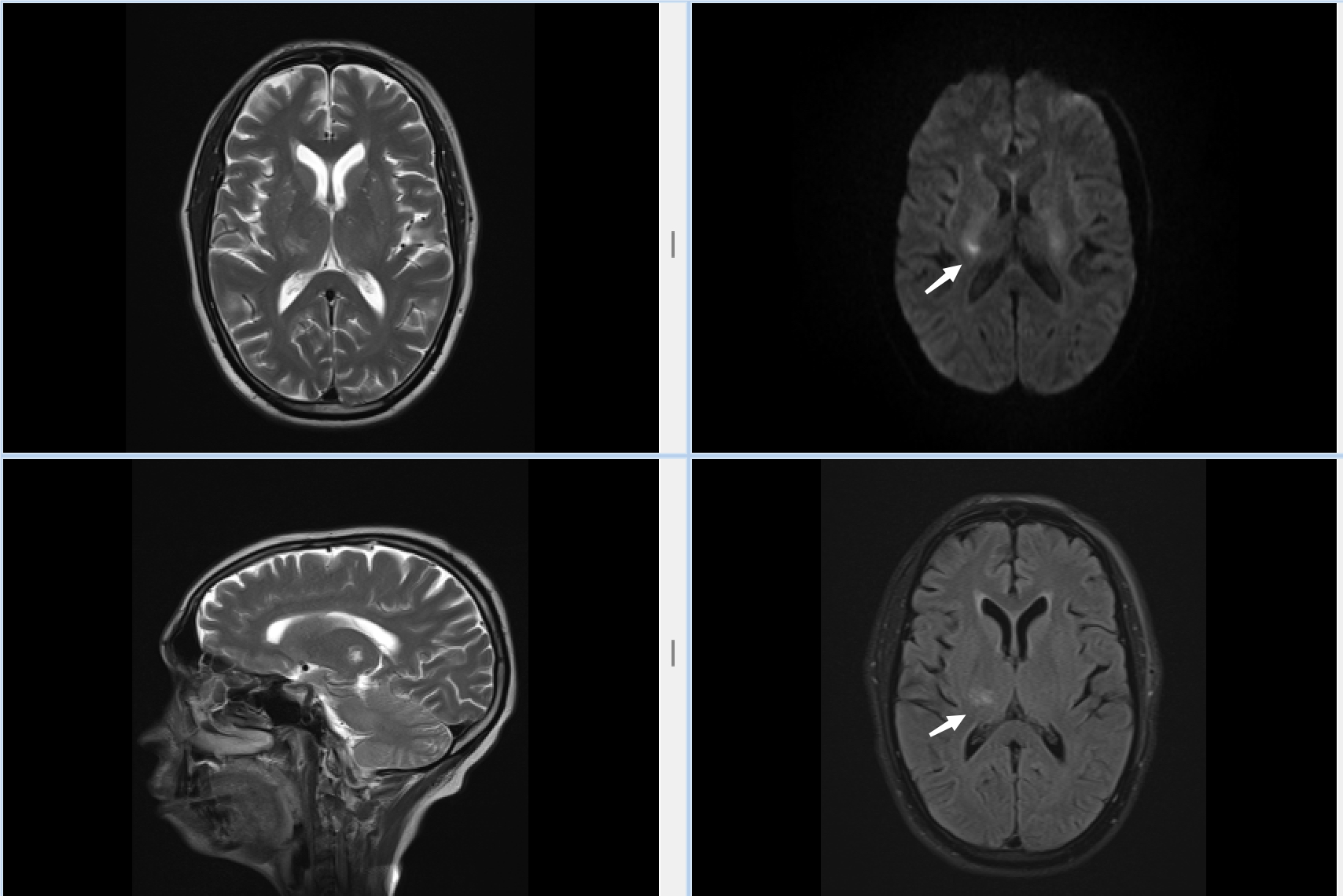
扬子晚报网1月13日讯(通讯员耿磊 刘慧玲 记者 孙锐)近日,桑给巴尔奔巴岛阿卜杜拉·姆才医院传来重磅医疗喜讯——由第35批援桑给巴尔中国医疗队放射科耿磊副主任医师主导,该院成功开展首例磁共振(MR)头颅常规及功能成像检查。这一突破填补了奔巴岛在高端影像诊断领域的空白,为当地神经系统疾病诊疗提供了关键技术支撑。此前,桑给巴尔劳工部部长及卫生部常务秘书专程出席了磁共振设备落地奔巴岛的揭牌仪式与开机仪式,对中国援外医疗项目给予高度肯定。

此次接受检查的首位患者,因“左侧肢体偏瘫、麻木伴深感觉障碍1日”就诊。患者此前接受头颅CT检查未发现明显异常,病情诊断陷入困境。为精准明确病因,耿磊副主任医师团队果断启用新落地的磁共振设备,通过头颅常规扫描及功能成像分析,清晰显示患者右侧丘脑存在急性梗死灶,为临床制定诊疗方案提供了确凿依据。这一诊断结果也印证了磁共振在早期脑血管疾病诊断中的独特优势,有效避免了因漏诊导致的治疗延误。

临床价值凸显,破解诊疗难题

磁共振检查的成功落地,为奔巴岛神经系统疾病诊疗带来质的飞跃。相较于传统CT检查,磁共振在软组织分辨力、早期病变识别等方面具有显著优势,尤其对脑梗死、脑肿瘤、脑血管畸形等疾病的诊断准确率更高。此次首例诊断案例,正是凭借磁共振的精准成像,成功捕捉到CT未能显示的早期丘脑梗死灶,为患者赢得了黄金治疗时间。耿磊副主任医师介绍,丘脑作为人体感觉传导的“中枢枢纽”,急性梗死若未能及时确诊治疗,极易导致肢体感觉障碍加重、偏瘫程度恶化等后遗症,磁共振技术的应用将大幅提升当地此类疾病的诊疗效率与效果。

授人以渔传技术,深化援外内涵

在开展检查的同时,中国医疗队员始终践行“授人以渔”的援外医疗理念。耿磊副主任医师全程手把手指导阿卜杜拉·姆才医院的当地技术人员,从磁共振设备的操作规范、扫描参数设置,到影像图像分析、病变识别技巧等方面进行系统教学,助力当地医疗团队快速掌握核心技术。“不仅要为当地带来先进设备,更要培养一支带不走的专业技术队伍。”耿磊表示,中国医疗队将以磁共振技术落地为契机,持续开展技术帮扶与学术交流,推动当地影像诊断水平整体提升。

社会效益深远,续写中桑友谊

磁共振检查在奔巴岛的成功启用,不仅是医疗技术的突破,更彰显了中桑两国深厚的友谊与合作根基。桑给巴尔卫生部相关负责人表示,中国援外医疗队始终聚焦当地医疗急需,此次磁共振设备的引进与首例检查的成功,将极大改善奔巴岛及周边地区民众“看病远、诊断难”的现状,让当地患者在奔巴岛本地即可享受高端精准的医疗服务。

第35批援桑给巴尔中国医疗队(奔巴岛医疗点)副队长侯建文表示,未来医疗队将继续发挥专业优势,在深化临床诊疗合作的同时,加大技术帮扶与人才培养力度,为桑给巴尔医疗卫生事业发展注入更多中国力量,让中桑友谊在守护生命健康的实践中持续升温。

校对 潘政