首页 > 新闻中心 > 江苏

年轻人心脏“抗压”能力不如老年人?专家提醒:年轻人心梗更凶险,这些特点要警惕

来源: 紫牛新闻

2025-09-29 23:12:00

一顿晚餐的间隙,42 岁的张先生突发急性心梗栽倒在地,生命垂危。所幸经镇江市第四人民医院(以下简称 “四院”)急诊团队与心内科专家紧急介入手术抢救,他成功从鬼门关脱险。9 月 29 日是世界心脏病日,今年主题为 “律动不息”,四院心内科主任刘永生借此案例提醒,近年来年轻心梗患者数量显著增加,且病情往往比老年人更凶险,公众尤其是高危人群需熟知心梗 “致命信号”,做好预防与应急处置。

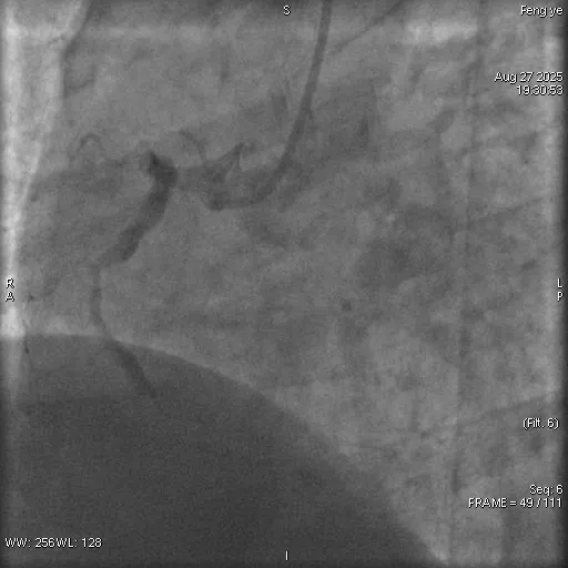
术前

突发险情:晚餐后胸闷栽倒,患者几近休克

据了解,今年 42 岁的张先生体重达 220 斤,不仅患有高血压、高血糖,还烟瘾极重,日常几乎烟不离手。8 月 27 日晚,他用餐后突然出现胸闷、全身大汗的症状,起初误以为是空调失灵、房间闷热所致,便起身开窗通风。然而,症状非但没有缓解,反而持续加重,最终他眼前一黑,直直栽倒在地。

家人见状紧急呼救,同时拨打 120 急救电话。当急救人员抵达现场时,张先生已意识模糊,出现血压不稳、心律不齐等症状,病情濒临休克。急救团队立即展开现场急救,并争分夺秒将其送往四院急诊抢救。

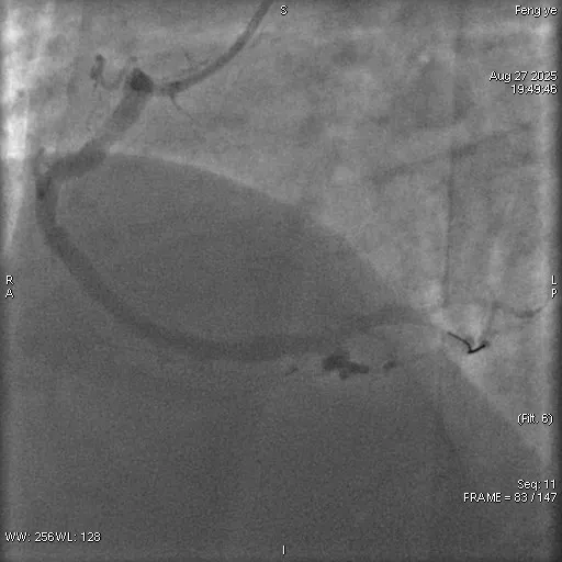
术后

紧急救治:介入手术打通血管,从死亡线拉回生命

抵达四院急诊室时,张先生的病情已十分危急。医护人员早已备好除颤仪以防万一,同时迅速为其完善心电图、心肌酶谱等关键检查。检查结果显示,张先生患上的是急性下壁正后壁心肌梗死—— 这是一种发病急、致死率高的心血管急症,若不及时干预,随时可能致命。

接到紧急会诊通知的四院心内科主任刘永生,第一时间赶到急诊室。结合张先生 “长期吸烟、高血压、高血糖、肥胖” 的病史与检查结果,刘永生判断其冠状动脉已出现急性闭塞,必须立即通过介入手术开通血管,否则将错失抢救时机。

随后,张先生被快速转运至导管室。刘永生带领团队精准定位其心脏冠状动脉闭塞部位,成功植入支架,打通了堵塞的血管。经过紧张抢救,张先生的生命体征逐渐平稳,胸闷、胸痛等症状明显缓解,最终脱离生命危险。目前,他已康复出院,出院后不仅彻底戒掉了多年烟瘾,还主动制定健康饮食与减重计划,积极配合后续康复治疗。

刘永生主任

医生警示:年轻心梗患者更凶险,三大特点需警惕

“近年来,像张先生这样的年轻心梗患者越来越多,且他们的病情往往比老年人更危重,猝死发生率也更高。” 刘永生在接受采访时强调,年轻人群急性心肌梗死的特殊性,主要源于三个关键原因:

其一,血栓病变为主,血管闭塞更突然。老年心梗患者多因冠状动脉长期粥样硬化,狭窄程度逐渐加重;而年轻人心梗多是冠状动脉内斑块突然破裂,形成血栓导致血管迅速完全阻塞,血流瞬间中断,心肌缺血缺氧的速度更快、程度更重。

其二,缺乏侧支循环保护,心肌坏死面积更大。老年人若存在长期严重的冠状动脉狭窄,心脏会逐渐形成 “代偿机制”—— 长出侧支循环血管,相当于给心脏搭建 “备用通路”;但年轻人血管狭窄程度通常不严重,侧支循环尚未形成,一旦血管闭塞,没有 “备用通路” 供血,极易引发大面积心肌坏死。

其三,缺血耐受性差,易诱发致命心律失常。年轻人的心肌平时极少经历缺血状态,对缺血的 “抗压能力” 远不如老年人(老年人因反复缺血,心肌已逐渐适应)。一旦突发急性缺血,年轻人的心脏更易出现严重室性心律失常,这也是年轻心梗患者猝死的重要诱因。

“正因为如此,年轻人发生急性心梗后,‘尽早开通梗死相关动脉’至关重要。” 刘永生解释,越早开展急诊介入手术,能挽救的濒临坏死心肌就越多,可最大限度减少心脏损伤,降低后续心衰、猝死等并发症的风险。

健康提醒:远离诱因 + 警惕症状,守护心脏健康

针对年轻心梗高发的趋势,刘永生结合临床经验,给出三点针对性健康建议,帮助公众预防心梗:

1. 严格控制危险因素

高血压、高血糖、肥胖、吸烟等都是心梗的重要诱因。年轻人群应定期进行健康体检,密切监测血压、血糖、血脂指标,发现异常及时干预;同时减少吸烟、酗酒行为,避免长期熬夜、过度劳累,降低心脏负担。

2. 养成健康生活方式

饮食上减少高油、高盐、高糖食物摄入,多吃蔬菜、水果、全谷物等富含膳食纤维的食物;每周坚持 150 分钟以上中等强度运动,如快走、慢跑、游泳等,将体重控制在 BMI(身体质量指数)18.5-23.9 的健康范围。

3. 警惕早期 “致命信号”

心梗并非毫无征兆,若出现胸闷、胸骨后压榨性疼痛、全身大汗、恶心呕吐、肩背放射痛等症状,无论年龄大小,都应立即停止活动、原地休息,同时拨打 120 急救电话,切勿抱有 “忍一忍就好” 的侥幸心理,以免延误抢救时机。

“心脏健康关乎生命‘律动’,年轻不是‘豁免权’。” 刘永生呼吁,在世界心脏病日来临之际,公众应重视心脏健康管理,从生活细节入手,远离心梗诱因,牢记应急处置方法,为心脏筑起 “防护墙”。

通讯员 钱菁璐 曹婷婷

扬子晚报/紫牛新闻记者 姜天圣 万凌云