首页 > 新闻中心 > 江苏 > 苏州

医共体协作显成效!苏州吴中区成功救治一例急性心肌梗死并发室颤患者

来源: 紫牛新闻

2025-12-29 14:32:00

近日,在苏州市吴中区卫健委统筹推进医共体建设背景下,一例急性心肌梗死并发室颤的危重患者通过苏州市吴中区尹山湖医院与吴中人民医院的紧密协作,实现了从基层首诊、成功复苏到上级医院急诊介入治疗的无缝衔接,患者最终转危为安并顺利出院,充分体现了吴中区医共体联合救治体系的实际成效。

基层首诊,快速识别危重胸痛患者

据了解,12月5日14 时22分,一名44岁男性患者因“突发胸痛1小时”自行来到苏州市吴中区尹山湖医院急诊科就诊,患者有明确诱因,症状典型,急诊医师结合病情特点,第一时间将其纳入胸痛救治流程,并立即送入抢救室行床旁心电图检查。

分秒必争,基层医院成功实施生命复苏

就在床旁心电图检查过程中,患者突发意识丧失、呼之不应,颈动脉搏动消失,尹山湖医院急诊团队迅速反应,立即启动抢救流程:迅速实施胸外按压、辅助呼吸并建立心电监护、快速开通静脉通路、监护提示心室颤动后,立即实施电除颤。经规范化心肺复苏及电除颤后,患者成功恢复自主心律和循环,生命体征逐步稳定,为后续治疗争取了关键时间窗口。

医共体联动,救治信息快速“直通上级”

患者复苏成功后,尹山湖医院第一时间依托吴中区医共体协作机制,在医务部门协调下,将患者病情及心电图信息实时上传至医共体胸痛救治联络平台,苏州市吴中人民医院专家徐云主任和张岑溪副主任迅速在线响应,结合患者病情综合评估后,明确提出尽快转诊行急诊介入治疗的救治建议。在患者无家属陪同的情况下,医共体内部迅速协调,启动绿色通道,高效完成转运准备,实现了基层医院与区域救治中心之间的顺畅衔接。

区域协同,成功完成急诊介入治疗

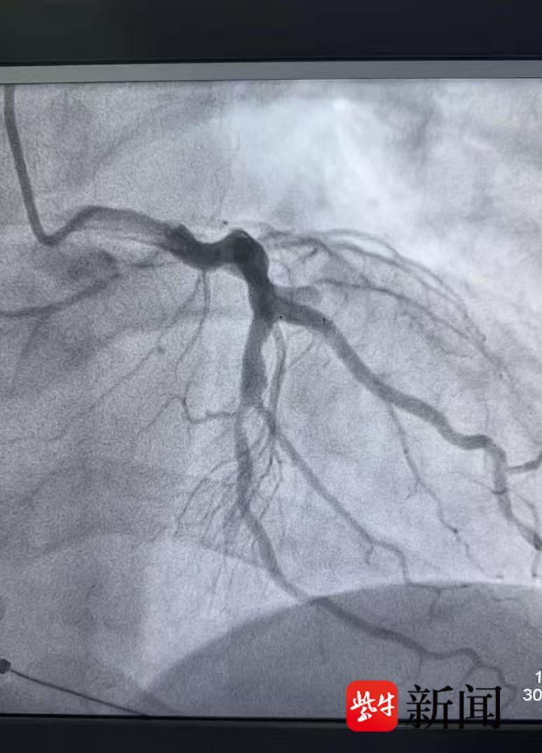
患者被紧急转运至苏州市吴中人民医院后,立即接受急诊冠状动脉造影检查,明确为急性心肌梗死相关血管闭塞。吴中人民医院孙中奇医师迅速为患者实施急诊介入治疗,成功开通闭塞血管,患者术后恢复良好。经过规范治疗与监护,患者病情稳定,已于12月16日顺利出院。

血管开通前

血管开通后

从“单点救治”到“体系作战”

本例患者的成功救治并非偶然,而是吴中区持续推进医共体建设和分级诊疗制度的生动实践:基层医院具备胸痛患者早期识别与初步救治能力、医共体内信息互通,实现专家资源下沉与即时会诊、 区域医疗中心发挥急危重症兜底救治作用、转诊流程顺畅,形成高效闭环救治链条,真正做到了“基层首诊不耽误、上转救治不断档”。

以医共体建设,守护群众生命安全

下一步,吴中区将继续在吴中区卫健委统一部署下,进一步完善医共体运行机制,强化胸痛救治单元建设,持续提升基层医疗机构急危重症识别与处置能力,推动优质医疗资源协同共享,让更多群众在“家门口”就能获得及时、规范、高效的医疗救治。

扬子晚报/紫牛新闻记者 顾秋萍

校对 盛媛媛