首页 > 新闻中心 > 健康

31岁白领突发中风:一个不经意的转头竟变成脑梗元凶

来源: 紫牛新闻

2025-10-14 13:12:00

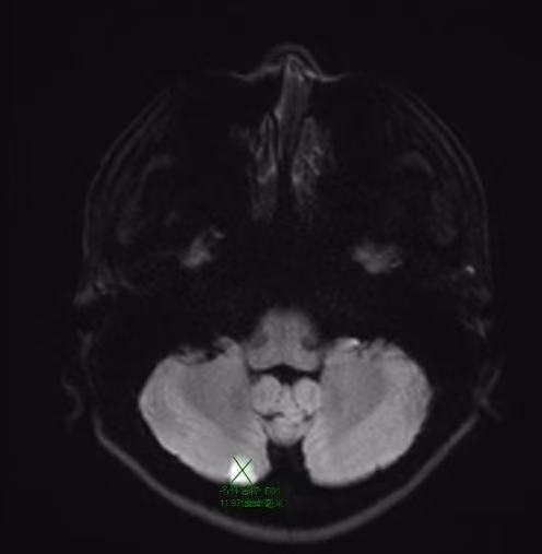
在众多急症中,脑梗死以其高致残率、高死亡率,成为最需要争分夺秒处理的疾病之一。很多人认为脑梗是老年人的“专利”,但近年来,年轻患者的比例正悄然上升。近日,江苏省人民医院(南京医科大学第一附属医院、江苏省妇幼保健院)神经内科接诊的31岁黄先生(化名)就是一位典型病例。他平时身体健康,坚持健身,却在一次伏案工作后因颈部酸痛,习惯性地做了个转头拉伸动作,随即出现头晕、站立不稳,收住医院后进一步查找病因,患者被确诊为椎动脉夹层导致的急性脑梗死。

小脑梗死

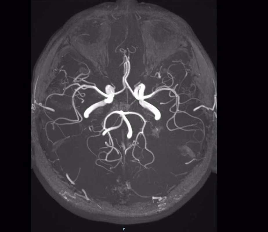
 椎动脉

江苏省人民医院神经内科龚洁副主任医师介绍,要理解椎动脉夹层,首先需要认识颈部的“生命线”——椎动脉。“在我们脖子的深处、颈椎的两侧,各有一条重要的动脉—椎动脉。它们穿行于颈椎骨骼的微小孔洞(横突孔)中,蜿蜒上行,进入颅内,负责为我们大脑后半部分的供血。”

可一次转头怎么会伤害到它呢?龚洁称,由于椎动脉相对固定且紧贴颈椎,当我们进行剧烈的、超出正常范围的颈部活动时,尤其是快速的旋转、后仰或侧屈,或者受到外来的、力度不当的按压、扳动,椎动脉可能会被过度地牵拉、挤压,剧烈的机械力可造成内膜撕裂。血液在血压的驱动下,会从这个裂口涌入血管壁的内膜与中层之间,形成一个“假腔”,这就是 “动脉夹层”。更危险的是,撕裂的血管内膜粗糙不平,可迅速形成血栓。一旦血栓脱落,就会堵塞更细的脑血管,造成缺血性脑梗死。

专家指出,椎动脉夹层起病突然,有一些典型警示信号值得关注。比如突发性、剧烈的后颈部或枕部疼痛,常被描述为“撕裂样”或“霹雳样”的剧痛;头晕、眩晕、恶心呕吐;视觉障碍;行走不稳、平衡障碍。除此之外,部分患者还可能出现猝倒、运动障碍、感觉障碍等相关的症状。

如何远离椎动脉夹层?专家建议,日常生活中应对非专业按摩和“掰脖子”说“不”:理发店洗头时的长时间后仰、听到“咔嚓”一声的颈椎复位,都可能暗藏杀机。如需颈部理疗,请务必寻找有资质的康复科医生或物理治疗师。

 图源 视觉中国

同时,颈部活动需温和。日常活动颈部时,动作缓慢、轻柔,避免快速、大幅度的旋转和甩头。在进行涉及颈部的运动前,做好充分的热身准备,让肌肉和关节处于待命状态。

此外,有结缔组织病、纤维肌发育不良等基础疾病,或家族中有动脉夹层病史的人群,其血管可能天生更脆弱,需要格外小心。日常生活中更要控制血压、血脂、血糖,戒烟限酒。

通讯员 陈聪 龚洁

扬子晚报/紫牛新闻记者 吕彦霖