首页 > 新闻中心 > 健康

94岁透析老人腹部“疼得像刀在搅”,“救心团队”为他打通血流通道

来源: 紫牛新闻

2025-10-30 15:28:00

当94岁的李爷爷(化名)被担架抬进来的瞬间,南京江北医院急诊大厅空气仿佛都绷紧了。只见他蜷缩着身子,双手死死按住腹部,“疼得像有把刀在搅” 的呻吟声,混着监护仪 “嘀嘀” 的急促提示音,让在场医护的心瞬间揪紧。

此时的他,血压已跌破安全线,休克前期的症状正步步逼近,而谁也没想到,他体内藏着一颗即将 “引爆” 的 “定时炸弹”。

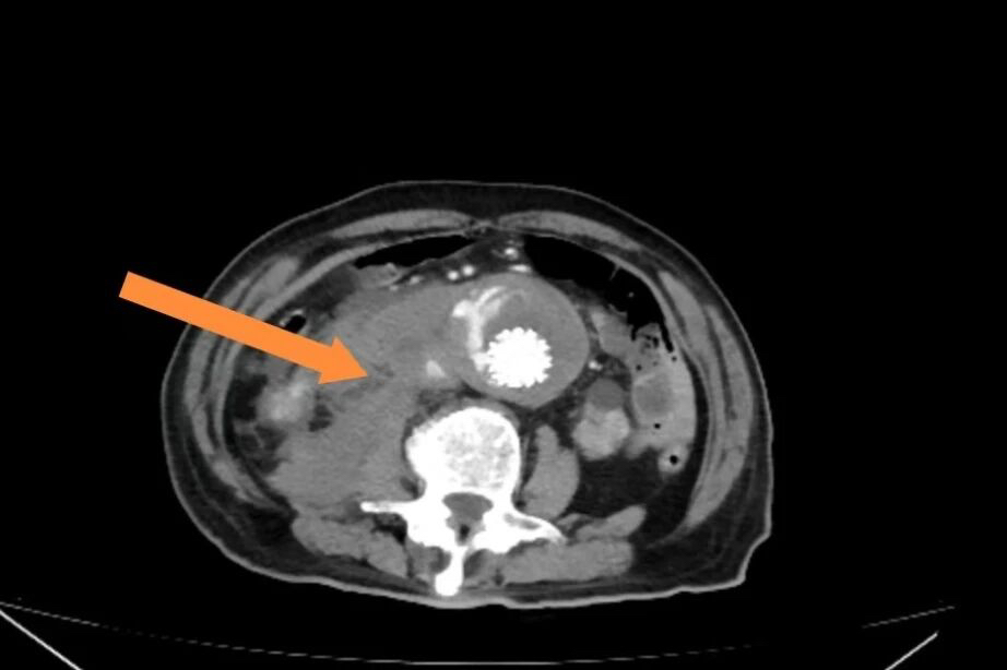
“立即做腹部 CTA!” 急诊科医生第一时间下达指令,护士已推着检查床冲向影像科。清晰的影像在屏幕上展开:多年前植入的腹主动脉支架分支出现脱落,造影剂正从支架与血管的间隙汹涌溢出,在腹膜后积成血肿。泛着白光的 “阴影”,正是腹主动脉瘤濒临破裂的信号。

“腹主动脉瘤一旦破了,生命危在旦夕。” 医生的话像一块巨石压在患者家属心头。

“必须立即手术!”心脏大血管外科团队孔繁熙主任医师在接到急会诊请求后迅速响应,做出了关键判断。然而,手术决策异常艰难。李爷爷超高龄,身体各器官功能储备差,特别是依赖透析的肾脏,使得麻醉和手术的风险呈几何级数攀升。任何一个环节的操作,都可能导致风险的出现。

时间就是生命!在与李爷爷家属进行充分、坦诚的沟通后,家属的理解、信任与“积极治疗”的坚定态度,给予了医疗团队莫大的信心与力量。

医院层面迅速启动“腹主动脉瘤破裂诊疗”应急预案瞬间激活,该院麻醉科、导管室、输血科等相关部门迅速进入“战时状态”,为抢救生命保驾护航。从诊断到决定手术,再到术前准备全部就绪,整个过程井然有序、高效运转,为李爷爷赢得了最宝贵的“黄金时间”。

手术台上,挑战空前。李爷爷脆弱的血管、脱落的旧支架、弥漫的渗血,都让每一步操作都如履薄冰。心脏大血管外科团队临危不乱,孔繁熙主任凭借精湛的介入技术和丰富的手术经验,在麻醉团队的精密护航下,精准地将新的腹主动脉支架植入预定位置,瞬间隔绝了破裂的动脉瘤,恢复了正常的血流通道。

当李爷爷麻醉苏醒后,说出的第一句“肚子不疼了”时,所有参与抢救的医护人员都备感欣慰。

通讯员 肖雪

扬子晚报/紫牛新闻记者 吕彦霖


校对 陶善工