首页 > 新闻中心 > 健康

28岁小伙篮球场两度中风,剧烈运动为何成为导火索?

来源: 紫牛新闻

2025-11-04 16:01:00

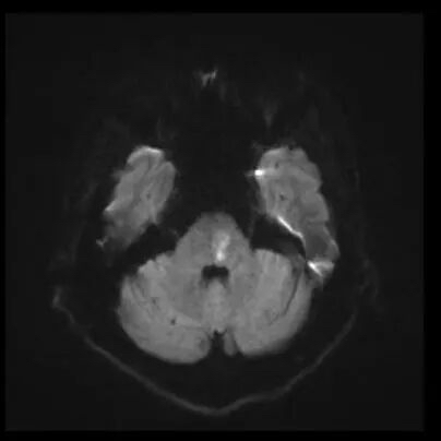
近日,江苏省人民医院(南京医科大学第一附属医院 江苏省妇幼保健院)神经内科接诊了一位经历两次中风的年轻患者。28岁的于先生(化名)热爱运动、自认身体健康,两个月前,在一次打完篮球后,突发右侧肢体无力、不能言语。经检查,医生发现其左侧椎动脉V3段夹层动脉瘤,基底动脉闭塞,随即进行基底动脉闭塞机械取栓术。术后血管恢复通畅,功能基本康复。

然而,术后仅一个月,出于对自身健康的自信,于先生再次走上篮球场。不幸的是,这次剧烈运动后脑干出现新发梗死,虽经积极救治,仍遗留右侧肢体偏瘫、言语不清等严重后遗症。

急性脑干梗死

夹层动脉瘤

生命“主干道”堵塞,基底动脉为何如此凶险?专家介绍基底动脉是由左右椎动脉汇合而成的“主干道”,负责为生命中枢——脑干供血。脑干作为人体的“总司令部”,掌控意识、呼吸、心跳等核心功能。这条主干道一旦堵塞狭窄,就会引发致死致残率极高的危重脑卒中。

中老年基底动脉狭窄患者最常见病因为动脉粥样硬化,青年基底动脉狭窄患者需警惕动脉夹层、纤维肌发育不良、动脉炎等。

可年轻人为何屡屡中招?江苏省人民医院神经内科黄琳副主任医师指出:剧烈运动时,头颈部的快速扭转或过度后仰,可能使椎动脉等颈部血管内膜“撕裂”,血液通过撕裂口进入血管壁形成动脉夹层。若积聚的血液使血管壁在中层与外层之间发生剥离,形成一个假性腔隙并从椎动脉壁向外膨出,最终就会呈现为椎动脉夹层动脉瘤样扩张,随时可能引发血栓或血管破裂。同时,剧烈运动时血压骤升,血流冲击加剧,可能使血管内不稳定斑块破裂,瞬间触发血栓形成,堵塞关键脑血管。

神经内科主任张克忠强调,中风不是老年病,任何年龄段都可能发生。无高血压、糖尿病等传统高危因素的年轻人中风多与动脉夹层、血管斑块等潜在病变有关。剧烈运动对有潜在血管问题的人来说,可能成为诱发严重事件的“最后一根稻草”。

【相关链接】牢记“BE FAST”原则,把握黄金救治时间

时间就是大脑,时间就是生命。识别以下中风征兆,能挽救一个家庭:

B(Balance):突然行走困难,身体失衡。

E(Eyes):突然视力模糊或失明。

F(Face):面部歪斜,口角不对称。

A(Arms):手臂无力,抬起困难。

S(Speech):说话含糊,表达困难。

T(Time):立即拨打急救电话!

于先生的经历是一场惊心动魄的生命拉锯战。运动健身需科学,健康评估要先行。别让热血运动成为健康的"隐形杀手"。

通讯员 黄琳 张丹丹

扬子晚报/紫牛新闻记者 吕彦霖

校对 石伟