首页 > 新闻中心 > 健康

七旬老伯吃鱼时呛了一下,1.6厘米长鱼骨“钻”进气道险些切肺

来源: 紫牛新闻

2026-02-26 14:43:00

“吃鱼时呛了一下,谁能想到居然有一块鱼骨头在肺里藏了半个月?”在南京市第一医院河西院区呼吸与危重症医学科病房里,李老伯回想起自己的经历,依然心有余悸。半个月前一次不起眼的“呛咳”差点酿成大祸。

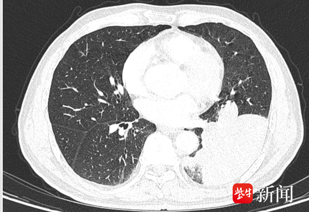
74岁的李老伯平时有进食后容易呛咳的毛病。半个月前,他在家吃鱼时被呛了一下,接着又剧烈咳嗽了一阵。因为自己有进食后容易呛咳的毛病,所以李老伯对这次呛咳并没太放在心上。然而,从那天起,李老伯的咳嗽次数明显增多,而且还伴有浓痰,虽然李老伯自己总说不碍事,但家人始终觉得不对劲,于是带着李老伯到我院河西院区呼吸与危重症医学科门诊就诊。接诊医生为李老伯安排了胸部CT检查,结果显示李老伯左肺下叶出现了一片“占位性病变”!这个病变是肿瘤?还是感染?为了明确诊断,李老伯被收治入院治疗。

入院后,河西院区呼吸与危重症医学科团队仔细研判了李老伯的病情。病区主任、医学博士杨振华敏锐捕捉到一个关键细节:李老伯既往有明确的饮食后呛咳史,且此次发病前有吃鱼后呛咳的经历。“这应该不是肺部感染或肿瘤,高度怀疑是气道异物,要对李老伯进行支气管镜检查!”

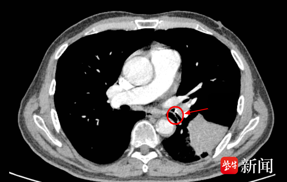
在充分的术前准备和风险评估后,由副主任医师高琳为李老伯实施支气管镜检查。当纤细的支气管镜缓缓进入李老伯的左肺下叶基底段时,一个令人意外的景象出现在屏幕上:在一片因炎症而充血水肿的支气管黏膜中,一个细长、坚硬的异物正死死地卡在管腔内,周围包裹着大量的脓性分泌物。

高琳小心翼翼地用异物钳将这个“潜伏”已久的元凶成功取出,竟然是一块长约1.6厘米的鱼骨!至此,真相大白。所谓的“肺部占位”,正是因为这块鱼骨堵塞气道,引发了堵塞性肺炎和肺不张,导致李老伯长达半个月的咳嗽和咳浓痰。

“李老伯算是幸运的,我们团队判断准确,通过支气管镜将异物取出,避免了肺切除的严重后果。”高琳介绍,“但在临床上,像他这样因误吸导致气道异物的老年人绝非个例。”如果把人体的吞咽系统比作一条精密的“运输流水线”,那么老年人的这条“流水线”是处于逐渐老化的状态。随着年龄增长,负责在吞咽时盖住气管入口的会厌软骨反应速度变慢,就像一位动作迟缓的交警,当食物快速通过时,来不及盖住气管,异物就容易“闯红灯”冲进气道。尤其是患有脑梗、帕金森病等神经系统疾病的老人,其吞咽反射和咳嗽反射均会减弱,导致他们对异物进入气管的反应变得迟钝。此外,牙齿松动或假牙不合适的老人,进食后可能存在未经充分咀嚼就被囫囵吞下,增加了异物进入气道的风险。

老年人误吸,预防胜于治疗。记者了解到,鱼骨、花生米、药片、活动假牙等都是临床上常见的老年人气道异物。它们一旦进入气管,轻则引起长期咳嗽、反复感染,重则可能导致完全性气道梗阻,危及生命。

高琳强调,以下预防误吸方法要重视:

1、改变进食习惯:老人吃饭时要坐直,细嚼慢咽,避免边吃边说笑或看电视、视频。

2、食物“特殊化”处理:坚果、豆类可打成粉末;吃鱼、鸡等带骨头的食物前,仔细剔除骨头;尽量避免给老人吃汤圆、年糕等黏性大的食物。

3、科学服药:服药时用足量温水送服,对于吞咽困难的老人,应在医生指导下改变剂型。

4、警惕“无声”误吸:如果老人反复出现不明原因的咳嗽、发热、肺部感染,一定要向医生提及呛咳史,及时进行胸部CT和支气管镜检查。

通讯员 曹慧慧 张洁

扬子晚报/紫牛新闻记者 吕彦霖

校对 盛媛媛