首页 > 新闻中心 > 天下事

发热1天左肺全白!这种病可堵塞气道,别误当普通感冒

来源: 国家应急广播

2025-11-11 08:38:00

国家疾控局昨天(10日)举行新闻发布会,会上介绍当前全国整体进入流感流行季,流感活动水平明显上升。

预计流感病毒是今冬明春我国呼吸道传染病主要病原体,此外,鼻病毒和呼吸道合胞病毒也是急性呼吸道感染的主要病原体,存在传播风险。

流感季来临,孩子出现感冒咳嗽较常见,但有些症状切不能忽视,若不及时就医,可能引发“白肺”甚至窒息等严重后果。

发热1天成“白肺”

呼吸道被堵塞

近日,浙江一名12岁女孩笑笑仅发热1天,左肺就变成了“白肺”,呼吸急促到无法平躺。

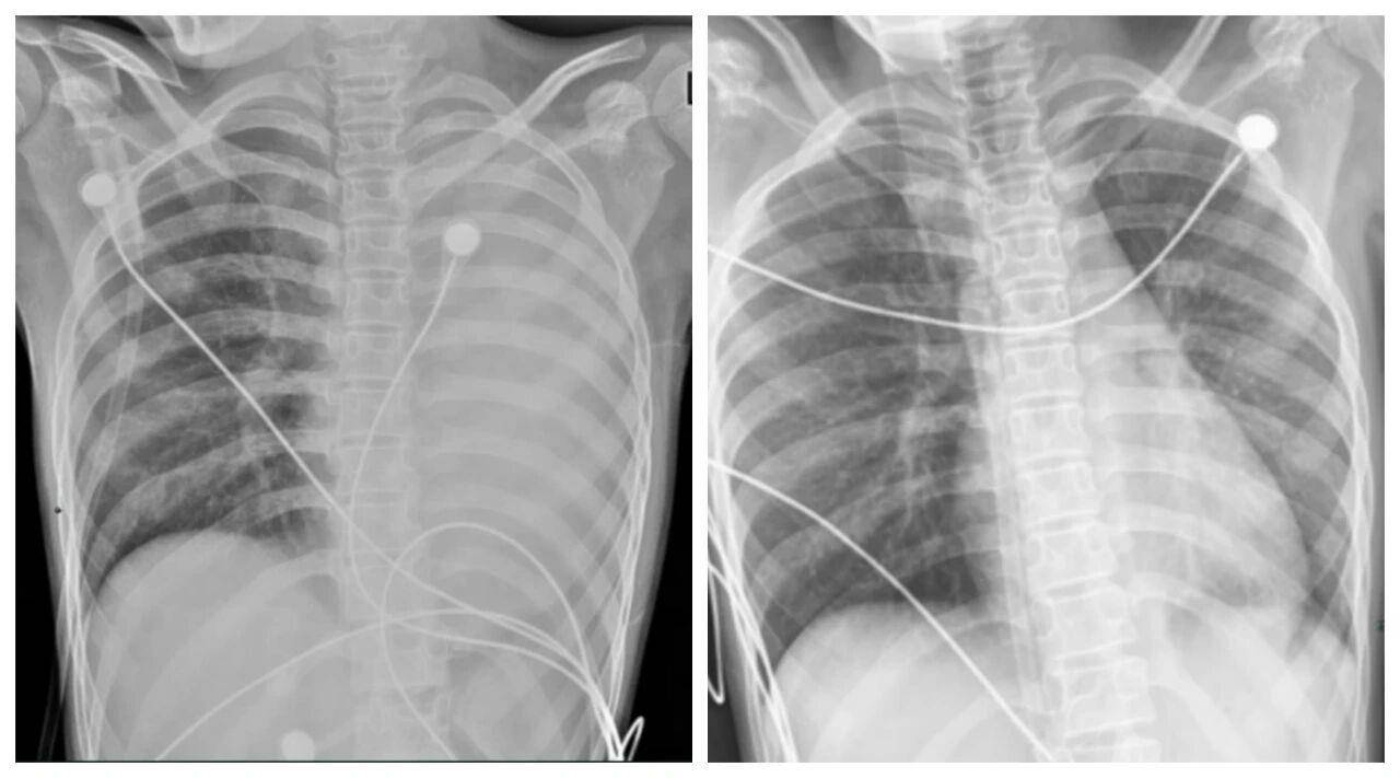
一开始,她只是轻微咳嗽,发热后在外院检查提示肺炎、肺不张,转诊到浙大四院儿科时,笑笑出现呼吸急促、胸闷胸痛,血氧饱和度勉强维持在90%左右,胸片显示左肺已完全呈“白肺”改变,病情急剧恶化。

△笑笑治疗前,左肺呈“白肺”状态,治疗后“白肺”被吸收,心脏边缘清晰可见。图源:浙大四院

浙大四院儿科副主任医师虞琳凭经验判断,笑笑极有可能是患上了“塑型性支气管炎”,经过多学科协作,最终决定紧急开展支气管镜手术。

手术中,支气管镜刚进入气道就发现,笑笑的气道黏膜充血水肿,大量黄白色黏痰不断涌出,左主支气管及各肺段开口已被黏液栓完全堵死。医护团队争分夺秒,用负压吸引、灌洗、钳取等方式清理堵塞物,经过反复操作,终于打通了被堵塞的呼吸通道。

△图源:浙大四院

术后第二天,笑笑呼吸困难、胸痛的症状明显好转,病情得到了初步控制。经过精准抗感染、祛痰、抗炎等系列治疗,笑笑逐渐康复,顺利出院。

“塑型性支气管炎”是什么病?为何病情进展如此猛烈?

起病急、进展快

警惕“塑型性支气管炎”

虞琳医生介绍,“塑型性支气管炎”是儿童期凶险的呼吸道急症,常见于2~12岁儿童,多由流感病毒、肺炎支原体、腺病毒等病毒或细菌感染引发。该病会导致支气管阻塞、通气和气体交换功能障碍,严重时会引发危及生命的呼吸循环衰竭。

这种病的凶险之处在于,患者气道会被大量胶冻状的黏液栓和支气管塑型堵塞,就像呼吸通道被水泥封住一样,氧气进不去、二氧化碳出不来,随时可能窒息。

部分患者取出堵塞支气管的内生物后,还能发现堵塞物外形就像支气管的样子。

△今年7月,浙江海宁13岁女孩玲玲(化名)持续高烧39℃不退,气道被胶冻状痰栓堵塞,医生手术吸出痰栓,形似“树枝”。图源:海宁传媒

“塑型性支气管炎”的特点是起病隐匿、进展快,容易误诊漏诊。若不及时治疗,可能遗留闭塞性细支气管炎、支气管扩张症等后遗症,严重时直接危及生命。

这些症状不是感冒!

及时就医莫拖延

医生提醒,孩子的呼吸道娇嫩,看似普通的感冒也可能暗藏凶险。当孩子出现以下症状时,就要警惕“塑型性支气管炎”,应立即就医,切勿当作普通感冒拖延。

孩子感冒咳嗽后出现持续发热、喘息加重、呼吸急促、胸闷胸痛等症状;

胸片或CT提示“肺不张”“肺实变”;

病情症状在短时间内快速恶化。

冬春季是急性呼吸道传染病高发季节,公众应养成戴口罩、勤洗手、常通风等良好习惯。

此外,接种疫苗是预防流感等传染病最有效、最经济的手段,未接种流感疫苗的适龄人群应尽早接种,以降低感染和发生重症的风险。

国家应急广播提醒

目前全国整体已进入流感流行季

若孩子感冒咳嗽后

出现呼吸急促、胸闷胸痛等症状

应及时就医

切勿当作普通感冒拖延