首页 > 新闻中心 > 江苏

盆腔藏50厘米“巨型囊肿”!常州医护2小时精准剥离,患者减重20斤获新生

来源: 紫牛新闻

2025-11-06 12:53:00

“肚子一下子平了,喘气都顺畅了!”术后康复中的郑女士(化名)抚摸着平坦的腹部,难掩心中的轻松。近日,常州市妇幼保健院 常州一院钟楼院区妇瘤二科科主任谭青青带领团队,成功为其切除一枚直径达50厘米的盆腔巨大包块——这一体积堪比足月婴儿的“庞然大物”,让她五个月来饱受腹胀折磨,甚至一度误以为是“消化不良”。

事情要从五个月前说起。郑女士莫名出现持续腹胀,起初觉得是饮食不当导致的消化问题,没放在心上。可随着时间推移,腹部隆起越来越明显,穿衣受限不说,还逐渐出现活动不便、呼吸略促的情况。意识到不对劲的她,连忙前往医院就诊,恰好遇上谭青青接诊。

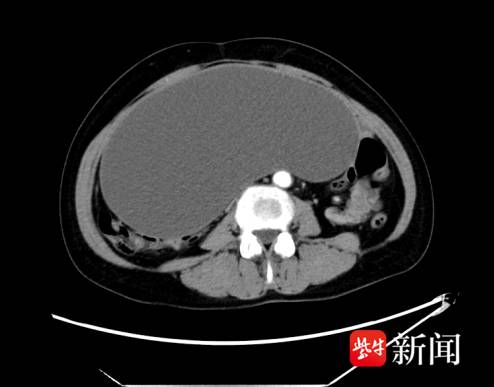
令人震惊的是:通过超声等系列检查,郑女士盆腔内藏着一枚直径约50厘米的巨大多房囊性占位,临床考虑卵巢肿瘤可能性大,随即收治入院。更棘手的是,进一步检查发现其还合并下肢静脉血栓,且包块在短期内迅速增大,手术难度及风险极高。

“这么大的卵巢囊肿非常罕见,包块上缘快贴近肝脏,不仅会压迫周围脏器,术中还可能出现大出血、血栓脱落、脏器损伤等意外。”谭青青介绍,为确保手术安全,医院第一时间启动多学科协作(MDT)机制,召集妇科、麻醉科、ICU、心内科等科室专家紧急会诊。经过反复研讨,团队最终制定了“先吸囊液缩小体积,再完整剥离”的周密方案,决定实施开腹探查术。

手术当天,在麻醉科团队的精准护航下,谭青青小心翼翼地打开腹腔:巨大的囊肿几乎填满了整个盆腹腔,将子宫、肠道等脏器挤压到一旁。团队先通过细针缓慢吸出囊液,淡黄色的液体源源不断流出,最终总量竟达4000毫升——这相当于一名成年女性全身的血液总量。随着囊液逐渐排空,囊肿体积快速缩小,手术视野也变得清晰。谭青青沿着囊肿包膜仔细分离,避开周围血管和脏器,最终成功将这枚“巨型囊肿”完整切除,整个手术历时约2小时,过程十分顺利。同时,十分幸运的是,病理结果为“卵巢良性肿瘤”。

目前,郑女士的体重直接下降了20斤,困扰已久的腹胀感瞬间缓解,腹部也恢复了往日的平坦,已能自主下床活动,正在稳步康复中。

“真的太感谢医生了!以前总觉得妇科检查可有可无,这次算是给我上了深刻一课。”郑女士感慨道。对此,谭青青提醒,卵巢囊肿是妇科常见疾病,分为生理性和病理性两类:生理性囊肿多与月经周期相关,通常无需特殊处理可自行吸收;病理性囊肿则可能持续增大,甚至引发腹痛、腹胀、压迫症状,需及时通过药物或手术干预。

“育龄女性如果出现持续腹胀、腹部不明原因隆起,或是月经不规律、腹痛等症状,千万别误以为是消化问题或肥胖,一定要及时就医排查妇科疾病。”谭青青强调,每年一次的定期妇科检查至关重要,通过超声等基础筛查,能及早发现卵巢、子宫等生殖系统的潜在问题,为治疗争取最佳时机。做好日常健康管理,养成定期筛查的习惯,才能更好地守护女性生殖健康。

张春艳 钱丽

校对 胡妍璐