首页 > 新闻中心 > 江苏 > 苏州

藤蔓状肿瘤“爬进”心脏,苏大附二院12小时手术打通生命通道

来源: 紫牛新闻

2026-03-11 17:57:00

近日,40岁的李先生因头面部肿胀、颈部血管鼓起等症状,被送往苏州大学附属第二医院。经检查发现,一团藤蔓状肿瘤已侵入心脏,并波及肺部,病情十分凶险。该院胸心外科团队历经近12小时手术,完整切除肿瘤,并为患者重新搭建血液回流通道。目前,患者生命体征平稳,已转入普通病房继续康复治疗。

据介绍,去年年底,李先生发现自己的脸越来越肿,脖子上的血管也越来越明显,整个人发胀、难受,却说不清问题究竟出在哪里。到医院进一步检查后,结果让人吃了一惊:胸腔内布满肿瘤,一路蔓延侵入心脏,堵住重要血液通道,还累及右侧肺部。由于血液回流受阻,他才出现了头面部肿胀、颈部血管鼓起等一系列症状,病情随时可能进一步加重。

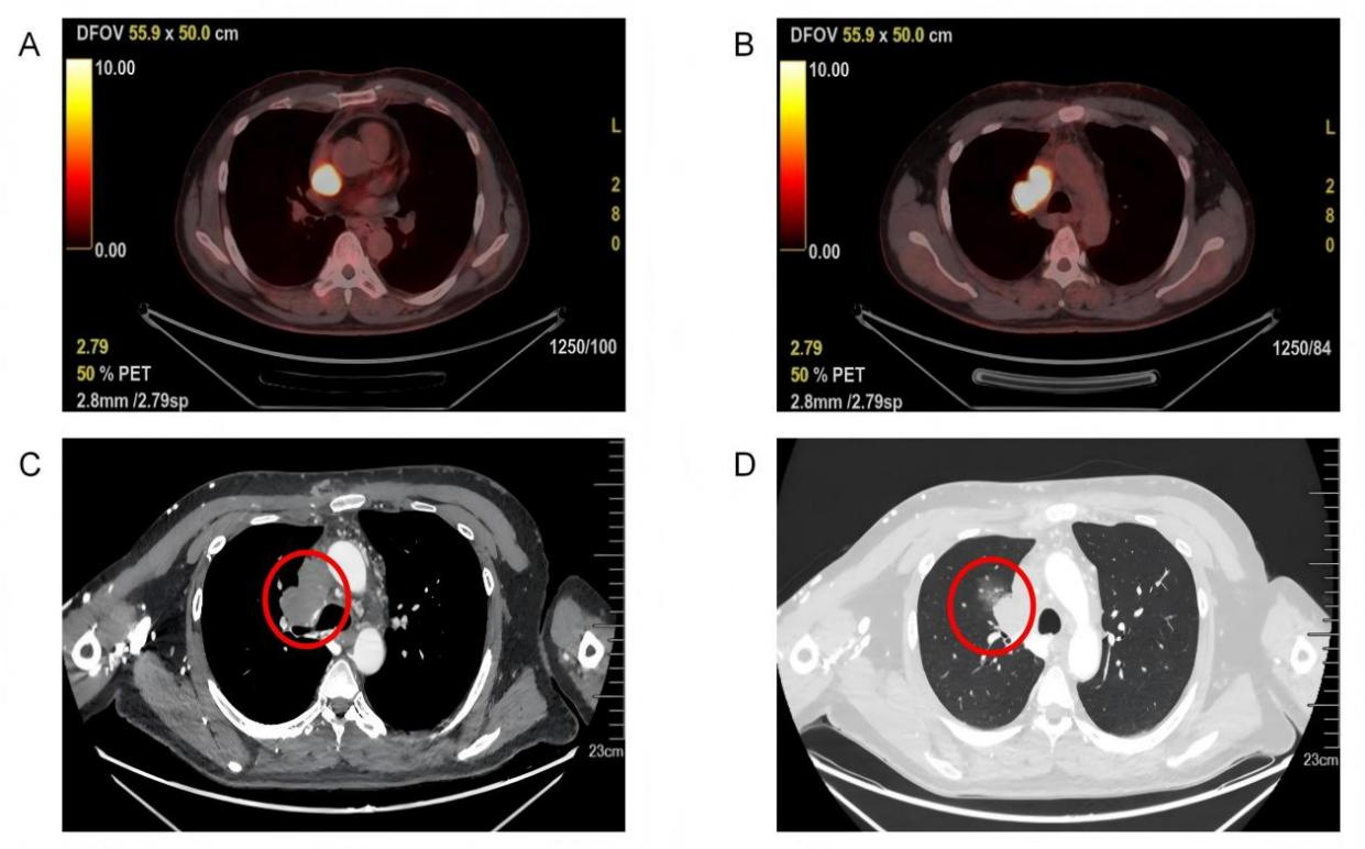
患者检查影像图:A:肿瘤侵占右心房;B:肿瘤堵塞上腔静脉;C:肿瘤压迫右主支气管;D肿瘤侵犯右侧肺门

此前,家属曾多方打听,并到外地医院寻求治疗方案。因为肿瘤同时涉及心脏、肺和重要大血管,手术风险极高,治疗一度陷入僵局。随后,李先生转至苏州大学附属第二医院胸心外科接受进一步治疗。

经过详细评估,胸心外科主任陈勇兵和团队决定尝试手术。2月27日,手术正式开始。打开胸腔后,眼前的情况比影像显示的还要复杂。陈勇兵介绍,肿瘤同时侵犯心脏、肺和重要大血管三个部位的,患者体内一大片区域几乎都被肿瘤堵住。“从医几十年,类似胸心部位的疑难手术,团队此前也做过20多例,但这么复杂的病例,我也是第一次见到。”

陈勇兵(右1)及其团队正在为患者进行手术

陈勇兵介绍,这台手术的难点不仅在于切除肿瘤,还要在手术中恢复被堵住的血液通道。手术中,胸心外科、麻醉科和体外循环团队密切配合,由体外循环设备暂时接管患者心肺功能。医生逐步切除侵入心脏、血管和肺部的肿瘤,并利用人工血管重新建立血液回流通道。近12小时后,患者心脏恢复自主跳动,手术顺利完成。目前,李先生恢复情况良好,已转入普通病房,后续将根据病理情况做相应治疗。

患者已顺利转入普通病房

通讯员 王飞月 丁启峰 扬子晚报/紫牛新闻记者 张添翼


校对 陶善工