首页 > 新闻中心 > 健康

咳嗽4天,肺里竟发现“铺路石”?江大附院精准诊断,原来是肺泡蛋白沉积症

来源: 紫牛新闻

2025-11-19 16:56:00

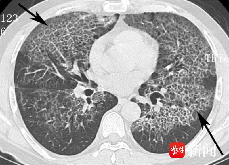
扬子晚报网11月19日讯(通讯员 孙卉 钱小蔷 记者 万凌云 姜天圣)仅仅干咳了4天,肺里就发现了“铺路石”?这可不是危言耸听。磨玻璃样密度影叠加网格状线影,形似一块块铺路石,临床上称之为“铺路石征”。

但凭借这条重要线索,镇江江苏大学附属医院(江滨医院)呼吸与危重症医学科团队,借助经支气管冷冻肺活检术,最终锁定了“元凶”——肺泡蛋白沉积症。19日,记者从院方获悉,这一罕见病,全球发病率仅每百万人0.5-2例!

怪咳背后,肺部惊现“铺路石”

“就是一阵阵的狂咳,不发烧、不流鼻涕,喉咙也不痛。”50岁的老凌(化名),觉得这次咳嗽发作有些蹊跷,便来到江大附院呼吸与危重症医学科门诊就诊。

胸部CT检查结果出来后,医生发现了端倪:他的肺部布满了散在的磨玻璃影,小叶间隔明显增厚,呈现出典型的 “铺路石征”。

检查影像

“这种‘铺路石’样的影像,常见于多种疾病,既可能是病毒或细菌感染,也可能是间质性肺病,甚至是肿瘤相关病变。” 呼吸与危重症医学科主任钱粉红解释道。

进一步检查显示,老凌的腺病毒核酸呈阳性,但全身症状轻微,也没有明显低氧血症,与病毒性肺炎的典型表现不符;他没有呼吸困难、咳粉红色泡沫痰等症状,排除了肺水肿;无免疫缺陷史、HIV阴性,淋巴细胞计数正常,卡氏肺孢子菌肺炎的可能性也被排除;而胸部 CT 中没有串珠样小叶间隔增厚、肺门淋巴结肿大等特征,癌性淋巴管炎也站不住脚。

精准破案,TBCB揪出元凶

为了揭开肺部病变的“神秘面纱”,钱主任决定采用经支气管冷冻肺活检术(TBCB)一探究竟。这项江大附院在全市率先开展的新技术,堪称弥漫性肺部疾病诊断的“利器”。

手术

相较于传统的经支气管肺活检(TBLB)和超声引导下经皮穿刺,TBCB有着独特优势:取出的组织标本更大,最大直径可达5毫米,能提供更丰富的病理信息;标本无明显挤压损伤,有效肺泡组织更多,诊断准确率更高;还能提前预置球囊封堵支气管,降低出血、气胸等并发症风险,尤其适合老凌这类弥漫性肺部病变的诊断。

手术当天,钱主任通过支气管镜,将1.9毫米的冷冻探头伸入肺部病灶区域,利用冷冻技术快速获取组织样本。整个过程顺利,没有出现任何并发症。而这份“关键证据”,最终揭开了谜底——老凌肺泡结构完好,但腔内充满了大量粉红色云絮状的无定形蛋白样物质,AB-PAS染色呈阳性,符合肺泡蛋白沉积症的诊断。

取出

系罕见症,肺泡里的蛋白堆积

肺泡蛋白沉积症(PAP)是一种罕见的肺部疾病,病因至今尚不明确,主要是肺泡内大量磷脂蛋白样物质异常沉积,导致肺部 “换气功能” 受影响。

发病人群:男性多于女性,30-50 岁中年人多见,老凌51岁的年龄正处于高发区间。

典型症状:多数人发病隐蔽,早期可能只有轻微干咳,随着病情发展会出现进行性活动后气促,严重时还会有低热、乏力、体重下降等表现。

影像特征:除了老凌身上出现的 “铺路石征”,还可能有 “地图征”—— 病变与正常肺组织分界清晰,就像地图上的不同区域。

活检

全肺灌洗是目前治疗该病最有效的方法,通过清洗肺部,将沉积的蛋白样物质清除,帮助肺部恢复功能。通过生理盐水冲洗肺部时,往往会清洗出许多像“牛奶”一样的液体。

对于无法进行全肺灌洗或治疗无效的患者,还可以采用GM-CSF治疗、单克隆抗体、血浆置换等方式,极端情况下可能需要肺移植。

钱主任提醒,如果出现持续不愈的咳嗽、活动后气短,或者体检发现肺部有磨玻璃影、小叶间隔增厚等异常,一定要及时到专科就诊。尤其是有长期吸烟史、粉尘接触史、免疫功能异常的人群,更要提高警惕,尽早通过相关检查明确诊断,避免延误治疗。

校对  朱亚萍