首页 > 新闻中心 > 江苏

12岁女孩心脏长数十枚肿瘤,常州儿童医院“拆弹救命”化解生命危机

来源: 紫牛新闻

2025-11-13 21:45:00

近日,常州市儿童医院心脏中心成功为一名心脏表面生长数十枚肿瘤的12岁女孩实施高难度切除手术,使其转危为安。该患儿心脏被大量心包积液与成串肿瘤压迫,病情罕见且危重,经多学科团队协作攻坚,最终顺利完成“拆弹”救治。

从咳嗽到心影异常,揪出心脏“隐形炸弹”

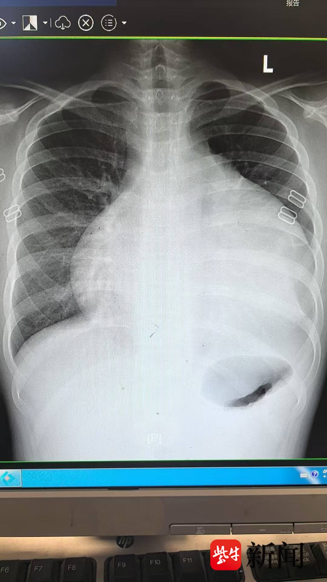
12岁的小新因持续咳嗽一周,在地方医院治疗无效后,被母亲带至常州市儿童医院呼吸科就诊。胸片检查显示其心影明显增大,进一步心脏超声提示存在大量心包积液,已压迫心脏,影响正常泵血功能。患儿随即出现胸闷、气促等症状,情况危急。

心脏中心副主任张伟团队立即为小新实施心包穿刺引流,共引出积液近3000ml,暂时缓解心脏压迫。然而,影像检查进一步发现其心脏表面存在多发性占位病变,呈“葡萄串”状附着,严重压迫大血管及气管,手术切除成为唯一有效的治疗途径。

多学科联手制定精准方案,6小时手术化险为夷

医院迅速组织重症医学科、麻醉科、影像科、病理科等多学科专家团队,并邀请合作单位上海市儿童医院心胸外科专家共同会诊。专家们反复研讨影像资料,围绕手术入路、肿瘤剥离顺序及血管保护等关键环节制定周密方案,目标明确:完整切除肿瘤,最大限度保护心脏功能。

10月29日,小新接受心脏肿瘤切除手术。术中发现其心脏表面附着数十枚肿瘤,最大直径达5cm,病理检查确认为良性腺瘤样瘤。在放大镜辅助下,团队沿肿瘤边界精细剥离,历经近6小时,将所有肿瘤成功切除,未损伤心脏及大血管。

术后恢复良好,迎来“心”希望

术后,小新在严密监护下平稳度过感染与出血风险期,心功能逐步恢复,于11月8日康复出院。张伟副主任表示,尽管心脏腺瘤样瘤属良性,但若压迫关键结构仍会危及生命,此类病例临床极为罕见,及时诊断与手术干预是关键。

此次手术的成功,体现了多学科协作在应对复杂儿童心脏疾病中的重要作用,也为类似病例的治疗积累了宝贵经验。

通讯员  杨小霞

张春艳


校对 陶善工