首页 > 新闻中心 > 江苏

精准微创 护航生命——常州四院神经外科成功为高龄脑出血患者实施硬通道穿刺引流术

来源: 紫牛新闻

2026-01-30 17:48:00

近日,常州市第四人民医院神经外科团队成功应用“硬通道穿刺引流术”,为一名78岁高龄、合并多种基础疾病的脑出血患者实施了微创救治。术后患者意识迅速恢复,目前病情稳定,已进入康复阶段,展现了该院在处理高龄、高危脑血管急症方面的微创技术优势与综合救治能力。

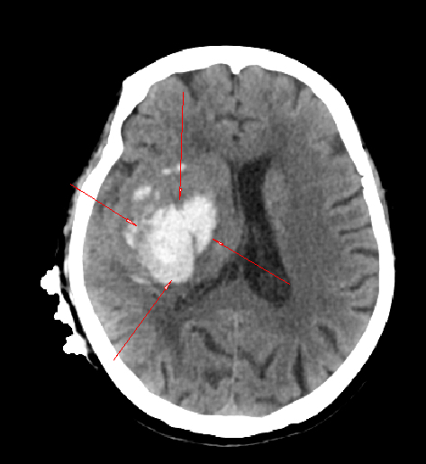
术前CT

患者张阿姨患有高血压、冠心病,并有脑梗病史,长期接受抗凝治疗。发病当日,她午饭后突感头晕、左腿无力并摔倒,伴随呕吐,随即意识不清、无法言语,被紧急送至我院急诊。经检查,确诊为“右侧基底节区脑出血”。该部位出血常致偏瘫、昏迷,风险极高,加之患者年事已高、长期服用抗凝药物,更使治疗面临严峻挑战。

面对复杂病情,神经外科团队全面评估后认为,传统开颅手术创伤大、恢复慢,对高龄患者风险较高。而“硬通道穿刺引流术”具有创伤小、定位精准、手术时间短、恢复快等优势,更为适合。在充分沟通后,团队为患者紧急施行此微创手术。术中精准置入引流管,有效清除血肿、降低颅压,手术过程顺利,出血极少。术后次日,患者意识即明显好转,可正确应答,肢体功能也开始恢复,家属对疗效深感满意。

术后第一天CT

神经外科主任医师马班友介绍,随着社会老龄化,高龄脑出血患者日益增多,他们常伴有多种基础病,手术耐受性差。硬通道穿刺引流术仅需局部麻醉,依托术前CT精准定位,能有效引流血肿,避免大开颅创伤,降低并发症风险,为高龄体弱患者提供了更安全、高效的手术选择。

马主任同时提醒公众,血压波动是脑出血的主要诱因,冬季尤为心脑血管疾病高发季节,患者务必严格控压、规范服药、定期随访。如突发剧烈头痛、呕吐、肢体无力等症状,须立即就医。

马班友  张春艳

校对 石伟