首页 > 新闻中心 > 健康

“小洞不补,大洞吃苦”!忽视筛查结果,一初中女生结核从“潜伏”到“爆发”

来源: 紫牛新闻

2025-10-14 18:01:00

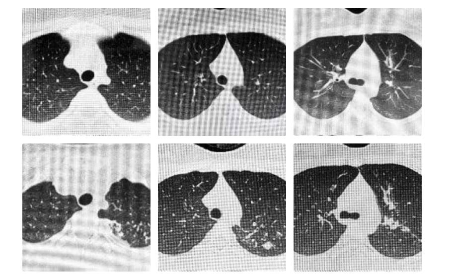
两年前一次学校的结核病筛查中,初中女生阳阳(化名)被测出了“阳性”结果。这本是“潜伏感染”的重要警报,意味着结核菌已潜入体内,但被免疫系统暂时围困。但她和家人并未当回事。两年后当阳阳再次走进诊室,胸部CT片已清晰显示:左上肺出现典型结核病灶,甚至可能已累及支气管,从“潜伏感染”已进展为“活动性肺结核”。值得注意的是,她仍然几乎没有症状。

上排为两年前,下排为两年后

“当时的阳阳,没有任何症状,完全意识不到潜伏的健康问题。如果她能听从医生建议,进行预防性治疗,就能极大降低发病风险。”南京市第二医院汤山分院结核科主任医师曾谊谈道。

“潜伏感染”和“活动性肺结核”,二者有什么区别吗?对此,曾谊打了个形象的比方:我们的身体像一个王国,结核杆菌是入侵的敌人。“筛查阳性”表示敌人已经潜入国内(感染),但被我们的国防军(免疫系统)包围在边境的堡垒里,无法作乱(没有发病)。而“活动性肺结核”则意味着敌人的力量增强,冲破了防线,在国内到处破坏,引发了战争(出现症状,肺部出现病灶,并可能传染他人)。

“没有症状反而是最大的陷阱。”曾谊指出,这种被称为亚临床结核的状态,具有极强隐匿性。患者本人难以察觉,但肺部病灶已在悄悄进展,甚至已具备潜在传染性。

而更遗憾的是,此时的治疗成本比潜伏期高了不少,治疗周期更长,服用药物更多。“如果两年前干预,仅需1-2种药物,服药3个月,副作用小,几乎不影响学业和生活。而现在需要4种以上药物,疗程至少6-9个月,药物副作用叠加,且可能留下长期肺部损伤。”

曾谊介绍,感染结核杆菌后,一生中约有5%-10%的风险会发展为活动性肺结核。其中,绝大多数发生在感染后的2年内,这正是干预和预防的“黄金窗口期”。遗憾的是,阳阳没有进行任何预防性治疗,学业压力大、作息可能不规律,这些因素可能导致免疫力暂时下降,成为结核病发病的导火索。

据介绍,感染后前2年是预防发病的关键窗口,预防性治疗可降低90%以上的发病风险。因此,若在学校结核筛查阳性,建议到结核病定点医疗机构进一步检查、评估、治疗。

需要提醒的是,长期不处理潜伏感染就像在身边埋下一颗“定时炸弹”。一旦发展为活动性肺结核,将面临多重健康风险。

对个人而言,会造成健康的损害,肺部造成不可逆损伤,结核菌会破坏肺组织,形成空洞或支气管结核,即使以后治愈,也可能留下后遗症,导致呼吸功能下降。结核菌还可能通过血液播散到身体其他部位,引起“肺外结核”,治疗更复杂,预后更差,甚至危及生命。

另一方面对公共卫生来说,活动性肺结核患者呼出的飞沫中就含有结核杆菌。学校、家庭等人员密集场所,极易造成结核病的传播。

通讯员 朱诺

扬子晚报/紫牛新闻记者 吕彦霖


校对 陶善工