首页 > 新闻中心 > 健康

男子臀部“带球跑”一年,精密操作成功为其解除“炸弹”

来源: 紫牛新闻

2026-02-11 20:28:00

近日,南京市中医院肛肠科团队凭借精湛医术成功为44岁的李先生(化名)切除骶前结缔组织交界性肿瘤。这个深居狭窄间隙、紧邻直肠与重要神经血管的“隐秘病灶”,曾让李先生辗转多家医院无果,如今终于迎刃而解。

李先生直言,自己其实早在1年前就出现了骶尾部肿物,无明显诱因,未予重视,后肿物逐渐增大,臀部可触及。“1月前出现了大便难解的症状这才想着去医院就诊。”

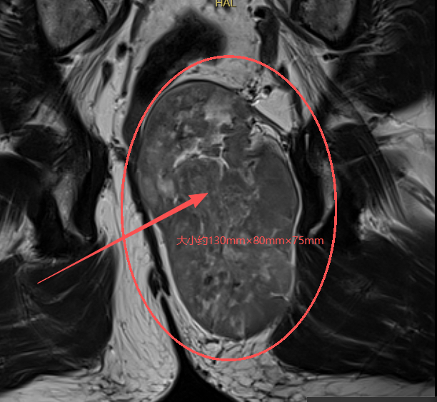
在南京市中医院,核磁检查显示:李先生直肠后方尾骨前方见不均质肿块影,大小约130mm×80mm×75mm(上下径×前后径×左右径),直肠及前列腺均受压移位。

南京市中医院肛肠科团队主任中医师樊志敏教授解释,该肿瘤体积巨大,肿瘤压迫直肠导致患者出现大便难解等不适症状,且肿瘤所处位置极为特殊,深居于骶骨与直肠之间的极狭窄间隙,边界不清,与骶骨、直肠、前列腺紧密相连,周围密布支配排便、性功能的神经丛及关键血管,稍有不慎,便可能引发大出血、神经损伤、直肠损伤、肠瘘、前列腺损伤出血等严重后遗症,手术难度和风险堪称临床难题。“正因如此,李先生几经周折,最终就诊于我院。”樊志敏教授说。

接诊后,专家团队对李先生的病情高度重视,基于详尽的影像资料,带领团队多次开展术前讨论。他们不仅细致评估肿瘤的大小、形态、边界及与周围脏器的毗邻关系,更充分考量李先生的年龄、长远生活质量。“手术的目标不只是切除肿瘤,更要最大限度地保护他的正常生理功能,让他术后能回归正常生活。”樊志敏教授强调。最终,团队为李先生量身定制了精细手术方案,计划通过切除尾骨及部分骶骨,充分显露肿瘤后方与骶前间隙,实现最小创伤下的肿瘤完整切除。

1月26日上午,由樊志敏教授主刀,多名外科医生辅助,手术正式开展。术中,手术团队凭借多年积累的临床经验、对局部解剖的深刻理解以及默契配合,在狭窄复杂的骨盆空间内精细操作。手术采取业内领先的后矢状入路、经括约肌间切除方式,整个手术过程持续近2小时,成功将肿瘤完整切除,患者术后安返病房。目前,李先生恢复状况良好。

樊志敏教授指出,骶前肿瘤发病率较低,早期难以察觉,待症状出现时肿瘤已发生进展。因此他提醒,中青年人群应注重定期体检,必要时接受胃肠镜和CT检查。一旦出现症状,应及时就医,早发现早诊断将疾病遏制在萌芽状态,从而减轻痛苦,并降低治疗成本。

通讯员 张明 夏凡

扬子晚报/紫牛新闻记者 吕彦霖

通讯员供图

校对 陶善工